When I first got my braces on I was giving a short consultation before I was let go. During this consultation the assistant gave me a pamphlet which all the things I should avoid eating. I wish I took a picture of it before throwing it out, but it had pictures of all these items.
In general you should avoid eating:
1. Hard foods
2. Sticky foods
3. Sweets
Some examples are nuts, hard pizza crust, corn on the cob, ribs, Doritos, popcorn, ice, raw carrots, gum, beef jerky, hard candy, and etc.
The idea behind avoiding these types of foods is to avoid having your braces knocked out and things stuck in between your teeth or brackets which could cause some problems with the movement of the teeth.
What do I eat now with braces on?
I actually don't really follow these rules. The only main difference in my diet is actually eating less sweets. I also don't bite into hard foods like apples.
However, I still eat nuts, ribs, Doritos gum, and etc. So yes, you can still eat real food with braces. However, you must be careful when eating hard food. The main point is that you do not want to knock one of your braces off. If you must eat hard foods, try to chew them with your molars and not with your front teeth.
Whatever you eat, just be careful and you will be fine.
Sunday, February 21, 2010
Monday, February 15, 2010
Week 27: New Gaps
Status Summary: I have a gap between my two front teeth.
Ever since I got the rectangular archwires I felt some sensitivity in my upper teeth but no real pain. This morning I woke up and I didn't really feel anymore sensitivity so I took a closer look at them after brushing my teeth. And, the gap is what I found.
It feels kind of awkward but I know why they moved. They were initially angled and now they are finally straight. I noticed this for the longest time and now it is fixed!
For now, there is no more pain or anything and I am definitely looking forward for my next appointment to see what are the next steps.
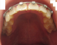
Here are my pictures. Notice the new gap on the first picture.
Ever since I got the rectangular archwires I felt some sensitivity in my upper teeth but no real pain. This morning I woke up and I didn't really feel anymore sensitivity so I took a closer look at them after brushing my teeth. And, the gap is what I found.
It feels kind of awkward but I know why they moved. They were initially angled and now they are finally straight. I noticed this for the longest time and now it is fixed!
For now, there is no more pain or anything and I am definitely looking forward for my next appointment to see what are the next steps.
Here are my pictures. Notice the new gap on the first picture.
Labels:
gap,
rectangular archwire
Wednesday, February 10, 2010
Week 26 with the Damon Braces
Status Summary: Very happy with my results.
Not much has changed since last week. The rectangular wires seem to have moved my teeth slightly but I don't really see any other movement. I know, they are moving all the time even if it doesn't hurt.
I know my orthodontist said that one of the major things that still need to happen is that widening of my upper left side. Currently they are still sitting right on top of my lower teeth.
Another concern I have, is my gap between my incisor and the teeth behind it. I really do hope they try to close it up so that it is not visible when I smile.
I do notice my teeth are a lot more aligned which is great!
Today I also had a little mishap. I was using my finger to clean out a piece of almond stuck in the last lower bracket. Somehow, I also got my lower lip (close to the side) caught on the hook of the bracket. That hurt a little :S
Not much has changed since last week. The rectangular wires seem to have moved my teeth slightly but I don't really see any other movement. I know, they are moving all the time even if it doesn't hurt.
I know my orthodontist said that one of the major things that still need to happen is that widening of my upper left side. Currently they are still sitting right on top of my lower teeth.
Another concern I have, is my gap between my incisor and the teeth behind it. I really do hope they try to close it up so that it is not visible when I smile.
I do notice my teeth are a lot more aligned which is great!
Today I also had a little mishap. I was using my finger to clean out a piece of almond stuck in the last lower bracket. Somehow, I also got my lower lip (close to the side) caught on the hook of the bracket. That hurt a little :S
Labels:
hook on bracket,
rectangular archwire
Tuesday, February 2, 2010
Week 25: The Retangular Archwire
Status Summary: I got new archwires today :D.
Today was my 3rd scheduled appointment, I believe, and I got new archwires on both upper and lower teeth.
On the upper teeth I got rectangular shaped ones. That is a very good sign. However, about 8 hours later, I started feeling my teeth sensitive once again. And, it is a little hard to eat. I asked my ortho what is the difference between these and the round ones. He said, the rectangular ones are supposed to work more on the rotation of the teeth while the round ones are mainly for the alignment of the teeth.
The lower teeth got thicker wires but they were still round ones. So, I have not felt any pain as of yet.
Another weird thing I noticed is that my bite is not the same. My front teeth don't touch each other anymore. My theory is that the teeth move the most after a change of wire during the first few days. Afterward, they move very slowly and are more or less adjusting and settling in to their new positions.
Here are the pics.




Today was my 3rd scheduled appointment, I believe, and I got new archwires on both upper and lower teeth.
On the upper teeth I got rectangular shaped ones. That is a very good sign. However, about 8 hours later, I started feeling my teeth sensitive once again. And, it is a little hard to eat. I asked my ortho what is the difference between these and the round ones. He said, the rectangular ones are supposed to work more on the rotation of the teeth while the round ones are mainly for the alignment of the teeth.
The lower teeth got thicker wires but they were still round ones. So, I have not felt any pain as of yet.
Another weird thing I noticed is that my bite is not the same. My front teeth don't touch each other anymore. My theory is that the teeth move the most after a change of wire during the first few days. Afterward, they move very slowly and are more or less adjusting and settling in to their new positions.
Here are the pics.
Labels:
rectangular archwire
Subscribe to:
Comments (Atom)

