Tuesday, March 30, 2010
Repositioning Brackets?
I just remembered that my next appointment slip said that I would be having a panorex and brackets repositioned. This is actually a relief. I do think some brackets are not in the right place as there is some small unevenness in the alignment (ie. some are 2 millimeters higher than the others and etc).
Labels:
panorex,
reposition
Week 33: Ortho Follow up & New wires & elastic bands / power chains
Status Summary: I got new archwires and elastic bands.
Today was such a great day and it started off with my schedule ortho appointment. This was probably appointment number 4 or 5. I can't really remember but they do run every 8 weeks. My next one is in 8 weeks. There is so much to write about so I have broken them down into sections
Pain
Both my lower and upper teeth are hurting from the new archwires. The interesting thing is that only the teeth on my left side of the mouth hurt. I had a molar taken out when I was younger and that messed up the alignment of my teeth on the left. But my right side is perfectly fine. I was still able to eat during lunch but for dinner I had soup again.
Archwires
I got new rectangular archwires and I am not sure what thickness exactly. The lower ones do look pretty thick though and they are hurting my teeth a lot. I can feel it working pushing my molars. I also got new (i guess thicker) archwires for my upper teeth. It seems like it is having some problems widening my bite on the left side :S.
Elastic Band
This was probably the most exciting part of the appointment. I got elastic bands for my front upper teeth to close the gaps I had. Yup they are now looking good and in pain. lol. The elastic band is actually very clear/white so it is hard to see. They are also placed on the brackets before the the archire so you do not remove them at all. During lunch I did feel I had a little more food stuck on them though. I think elastic bands are a good sign.
Gap
The big gap on my upper left side is going to stay. Apparently there is no real good way of moving 3 molars forward without too much risk for the front teeth coming backwards. So I have given in.
Mid Point
Today I was told by the ortho that in 2 months I would have reached my midpoint! So that means treatment should be about 20 months :(.
Also, today I had the pleasure of having the ortho actually changing the wires for me. In the past it had always been assistants. This was a great surprise. And let me tell you, there is much more quality work done. He was much nicer opening the brackets (no forceful pushing of the tool against your teeth), and the wires were not just shoved in quickly. I can really tell the difference between an ortho and an assistant level of work quality.
Damon Clear
As I was leaving I saw an ad for Ortho clear. Apparently they are not doing these at my ortho :(. 7 months too late!!!!
Today was such a great day and it started off with my schedule ortho appointment. This was probably appointment number 4 or 5. I can't really remember but they do run every 8 weeks. My next one is in 8 weeks. There is so much to write about so I have broken them down into sections
Pain
Both my lower and upper teeth are hurting from the new archwires. The interesting thing is that only the teeth on my left side of the mouth hurt. I had a molar taken out when I was younger and that messed up the alignment of my teeth on the left. But my right side is perfectly fine. I was still able to eat during lunch but for dinner I had soup again.
Archwires
I got new rectangular archwires and I am not sure what thickness exactly. The lower ones do look pretty thick though and they are hurting my teeth a lot. I can feel it working pushing my molars. I also got new (i guess thicker) archwires for my upper teeth. It seems like it is having some problems widening my bite on the left side :S.
Elastic Band
This was probably the most exciting part of the appointment. I got elastic bands for my front upper teeth to close the gaps I had. Yup they are now looking good and in pain. lol. The elastic band is actually very clear/white so it is hard to see. They are also placed on the brackets before the the archire so you do not remove them at all. During lunch I did feel I had a little more food stuck on them though. I think elastic bands are a good sign.
Gap
The big gap on my upper left side is going to stay. Apparently there is no real good way of moving 3 molars forward without too much risk for the front teeth coming backwards. So I have given in.
Mid Point
Today I was told by the ortho that in 2 months I would have reached my midpoint! So that means treatment should be about 20 months :(.
Also, today I had the pleasure of having the ortho actually changing the wires for me. In the past it had always been assistants. This was a great surprise. And let me tell you, there is much more quality work done. He was much nicer opening the brackets (no forceful pushing of the tool against your teeth), and the wires were not just shoved in quickly. I can really tell the difference between an ortho and an assistant level of work quality.
Damon Clear
As I was leaving I saw an ad for Ortho clear. Apparently they are not doing these at my ortho :(. 7 months too late!!!!
Labels:
power chain,
progress,
rectangular archwire
Friday, March 26, 2010
Week 32 with the Damon Braces
Summary: Not much has changed except I am used to the braces for sure!
I apologize as I have not written for about a month but in reality there hasn't been much to write about. My braces are about 7 months old already and I have gotten used to them. Yesterday I felt like ripping them off but that was before I didn't want to floss. LOL.
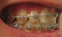
Here are my latest pictures. As you can see, I still have the same gaps and there is very little movement so far. My lower teeth have moved very nicely and next week I'll probably get them a set of rectangular archwires.
I apologize as I have not written for about a month but in reality there hasn't been much to write about. My braces are about 7 months old already and I have gotten used to them. Yesterday I felt like ripping them off but that was before I didn't want to floss. LOL.
Here are my latest pictures. As you can see, I still have the same gaps and there is very little movement so far. My lower teeth have moved very nicely and next week I'll probably get them a set of rectangular archwires.
Sunday, March 21, 2010
Damon Braces Informercial
I thought it would be fun and educational to put in a couple of good clips that shows you how Damon Braces works!
Labels:
video
Subscribe to:
Comments (Atom)

